Показания
① Применение
• Чувствительные очаги рядом с важными структурами
Например, опухоли рядом с крупными сосудами, нервами, грудной стенкой или жизненно важными органами, где необходимы строгие безопасные границы;
• Пациенты, которые не могут или не подходят для операции
Включая пациентов с особенностями локализации опухоли, множественными сопутствующими заболеваниями или непереносимостью общей анестезии, делающими хирургическое удаление невозможным;
• Пациенты с послеоперационным рецидивом или необходимостью локального контроля
Может использоваться как часть повторного локального лечения или комплексной терапии;
• Пациенты, стремящиеся к минимальной травматичности и быстрому восстановлению
Особенно подходит для пожилых пациентов, пациентов с множественными сопутствующими заболеваниями или с высокими требованиями к качеству жизни.
② Частые типы опухолей
• Солидные опухоли: рак печени, рак почки, рак легких, рак предстательной железы, опухоли костей и др., особенно для пациентов, не подходящих для операции или нуждающихся в сохранении функции органа.
• Доброкачественные образования: фиброаденома молочной железы, миома матки и др.
Ключевые преимущества
Криоабляция обладает уникальными преимуществами при опухолях, расположенных рядом с важными структурами, или когда традиционная хирургия связана с высоким риском, особенно для пациентов, которым важно одновременно обеспечить безопасность и сохранить функции. На основе мультидисциплинарной оценки эта методика предлагает мягкий, контролируемый и минимально инвазивный вариант лечения сложных очагов.
① Визуализация при низкой температуре, чёткие границы безопасности
Во время криоабляции формирующийся «ледяной шар» чётко виден на визуализации, что позволяет оценивать зону абляции в реальном времени и повышает контроль над процедурой.
② Более щадящее воздействие на важные структуры
Низкая температура оказывает относительно мягкое воздействие на сосуды, нервы и другие важные структуры, снижая риск повреждений даже без прямого прокола.
③ Явный обезболивающий эффект
Холод сам по себе оказывает местное анестезирующее действие, благодаря чему боль во время процедуры и после неё относительно лёгкая.
④ Минимальная травматичность, быстрый восстановительный период
Лечение проводится через небольшое кожное прокалывание, и у большинства пациентов период восстановления короткий.
⑤ Широкий спектр показаний
Применимо при опухолях нескольких органов, рецидивирующих очагах и у пожилых пациентов, предлагая варианты лечения для сложных случаев.
Почему выбирают больницу Цзиньшачжоу?
В больнице проведено более десяти тысяч процедур криоаблации, охватывающих печень, лёгкие, почки, кости, область головы и лица, полость рта, молочную железу, предстательную железу и саркомы, что позволило выработать стандартизированные процессы и накопить обширный опыт лечения опухолей в сложных локализациях благодаря большому объёму случаев.
Больница оснащена современным оборудованием для криоаблации в сочетании с КТ и другими методами визуализации для точного позиционирования, что позволяет контролировать границы «ледяного шара» и повышает управляемость и безопасность лечения.
Операции выполняет опытная команда специалистов, которая в рамках МДТ координирует план лечения с радиотерапией и системной терапией; больница также постоянно проводит клинические исследования и оптимизацию технологий криоаблации, способствуя обновлению протоколов и повышению качества.
Техническое определение
Криоаблация — это малоинвазивная методика лечения, при которой поражённая ткань разрушается с помощью крайне низких температур. Через криозонд в целевую область подаются газы аргон и гелий, в результате чего локальная ткань подвергается повторяющимся циклам быстрого замораживания и оттаивания за короткий промежуток времени, что вызывает необратимое повреждение клеток опухоли и делает их нежизнеспособными.
Эта методика не требует открытой операции и проводится под местной анестезией, что обеспечивает минимальную травматичность. Она является важной частью современной системы минимально инвазивного лечения опухолей.
Механизм действия
В системе криоаблации на основе аргона и гелия высокое давление аргона быстро охлаждает наконечник зонда до примерно -140°C до -170°C, затем гелий используется для быстрого оттаивания.
Во время повторяющихся циклов замораживания и оттаивания внутриклеточная вода формирует кристаллы льда, которые многократно плавятся, что приводит к разрушению клеточной мембраны и структуры клеток. Одновременно локальные кровеносные сосуды подвергаются криогенной окклюзии, перекрывая кровоснабжение опухоли и усиливая повреждение клеток.
После 2–3 циклов замораживания и оттаивания опухолевая ткань постепенно подвергается некрозу и контролируется. Весь процесс проводится под контролем визуализации, что обеспечивает точность и безопасность лечения.
Процесс лечения
① Предоперационная оценка: Оценка локализации, размера, патологического типа очага и общего состояния пациента.
② Визуализация: Точная локализация очага с помощью ультразвука, КТ или МРТ.
③ Установка зонда: Введение криозонда через кожу или интраоперационно в целевую область.
④ Циклы замораживания и оттаивания: Быстрое охлаждение до экстремально низких температур, удержание несколько минут, затем естественное оттаивание; обычно повторяют 2–3 раза.
⑤ Удаление зонда: Удаление зонда после подтверждения, что зона абляции полностью охватывает очаг.
⑥ Послеоперационное наблюдение: Оценка эффективности абляции и контроль за возможным рецидивом с помощью визуализации (например, контрастная КТ/МРТ).
Безопасность и меры предосторожности
Безопасность криоабляции обеспечивается точным контролем области воздействия низких температур под визуальным контролем. Перед процедурой необходимо тщательно оценить пространственное расположение опухоли относительно критически важных структур и спланировать оптимальный путь введения зонда. После вмешательства у некоторых пациентов может наблюдаться кратковременная локальная боль, отёк или лёгкая температура, большинство случаев проходят самостоятельно. Стандартизированная оценка и работа опытной команды позволяют эффективно снизить риск осложнений.
Часто задаваемые вопросы
① Через сколько после процедуры можно вернуться к обычной жизни?
Пациенты обычно могут возобновить повседневную активность через 1–2 недели после процедуры, но рекомендуется избегать интенсивных физических нагрузок и тяжёлой работы.
② Требуется ли проведение процедуры несколько раз?
В зависимости от размера и типа опухоли некоторым пациентам может понадобиться несколько сеансов криоабляции для достижения оптимального результата.
③ Когда можно оценить эффект лечения?
Немедленный эффект: после криоабляции пациенты обычно ощущают уменьшение боли в области опухоли в течение нескольких дней до недели, а очаг постепенно уменьшается в размерах.
Окончательный эффект: обычно оценивается через 1–2 месяца с помощью инструментальных методов (например, контрастного КТ или МРТ). Некоторым пациентам может потребоваться дополнительное наблюдение для подтверждения полной абляции или контроля за возможным рецидивом.
Типичный случай
① Случай 1:
Пациентка: 17 лет, остеосаркома; пол: женский
Жалобы и течение болезни: во второй половине 2024 года пациентка почувствовала тянущие ощущения и отёк в правой нижней конечности. Дальнейшее обследование подтвердило остеосаркому. Очаг оказывал давление на область сустава, что влияло на ходьбу. Пациентка и её семья категорически отказались от хирургического удаления, подчеркнув желание максимально сохранить функцию конечности и искать малоинвазивное лечение с минимальной травмой.
Лечение и результат: после госпитализации пациентка прошла мультидисциплинарную оценку и получила криоабляцию. После лечения объём очага уменьшился по сравнению с исходным, симптомы снизились, созданы более благоприятные условия для последующего комплексного лечения и дальнейшего ведения.

(Область очага)

(«Ледяной шар», создаваемый криоабляционным зондом во время процедуры)

(Некроз опухолевой ткани)
② Случай 2:
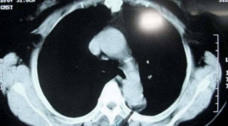
Очаговое образование в верхней доле левого легкого, прилежащее к аорте, вероятно является метастатической опухолью.

(Опухоль, на которую указывает кончик зонда)

(Область некроза опухолевой ткани, на которую указывает кончик зонда)