Применимые ситуации
① Классические клинические сценарии, наиболее подходящие для Halcyon
• Пациенты, проходящие преимущественно стандартную фракционированную лучевую терапию и лучевую терапию с модуляцией интенсивности, которым требуется частая визуализационная верификация для повышения воспроизводимости укладки.
• Ситуации лечения анатомически сложных областей, таких как голова и шея, грудная и брюшная полости, малый таз, где высокая точность коррекции положения в каждый сеанс имеет решающее значение.
• Пациенты, у которых движения дыхания существенно влияют на область грудной клетки или живота, имеются трудности с задержкой дыхания либо снижена функция лёгких, и которые стремятся снизить нагрузку, связанную с сотрудничеством во время лечения.
• Пациенты с более сложной фиксацией положения тела и высокой сложностью воспроизведения укладки.
② Часто встречающиеся нозологии
• Опухоли головы и шеи: назофарингеальный рак и другие опухоли головы и шеи.
• Опухоли грудной клетки: рак лёгкого, рак молочной железы, рак пищевода.
• Опухоли брюшной полости и малого таза: рак прямой кишки, рак предстательной железы.
• Костные опухоли, внутричерепные опухоли и другие виды злокачественных новообразований.
Технические преимущества
① Более быстрое и более чёткое трёхмерное изображение — более комфортное лечение
• Оснащение системой широкоформатной визуализации 86 см × 43 см, обеспечивающей обширное покрытие и удовлетворяющей потребности в комплексной визуализации сложных анатомических структур. Широкое поле зрения особенно эффективно при лучевой терапии органов малого таза, позволяя за одно сканирование чётко отобразить всю анатомию таза и снизить для пациента временную и дозовую нагрузку, связанную с многократным сканированием.
• HyperSight обеспечивает качество изображения, близкое к диагностическому и симуляционному уровню, предоставляя более надёжную основу для верификации укладки, контурирования мишени и оптимизации расчёта дозы. Это позволяет лучше сочетать покрытие мишени с защитой нормальных тканей, повышая уверенность в безопасности лечения.
• По сравнению с традиционным iCBCT время сканирования сокращено с 15 секунд до примерно 6 секунд. Пациентам не требуется длительная задержка дыхания, что значительно уменьшает артефакты, вызванные дыхательными движениями. Это повышает эффективность и комфорт верификации укладки для подвижных зон, таких как грудная клетка и брюшная полость, снижает требования к сотрудничеству пациента и делает процесс лечения более лёгким.
② Интеллектуальная адаптивная лучевая терапия SmART с быстрой коррекцией в процедурном кабинете — более непрерывное лечение
Комбинация Halcyon и HyperSight позволяет выполнять адаптивную корректировку плана SmART с более эффективной модификацией плана и перерасчётом дозы непосредственно в процедурном кабинете. Это обеспечивает принцип «чётко видеть, точно облучать, быстро корректировать». По сравнению с традиционным подходом, требующим остановки лечения, повторной симуляции и возврата к терапии, данная возможность повышает непрерывность лечения и эффективность работы команды, переводя прецизионную лучевую терапию от «статического плана» к новому этапу «динамического реагирования».
③ Эффективный и стандартизированный контроль качества — каждый сеанс более стабилен и безопасен
• Двухслойный многолепестковый коллиматор (MLC) с перекрывающейся двухслойной конструкцией повышает скорость лечения и значительно снижает межлепестковое утекание излучения. Это позволяет создавать более детализированные планы лечения при сохранении эффективности и качества.
• Технология лучевой терапии с визуализационным наведением (IGRT) глубоко интегрирована в лечебный процесс, закрепляя последовательность «сначала визуализация, затем коррекция, затем облучение» как стандартную практику. Каждый сеанс проводится на основе визуальной верификации и коррекции укладки, что повышает соответствие между планируемым и фактически доставляемым облучением, а также уровень безопасности.
Почему выбирают больницу Цзиньшачжоу Гуанчжоуского университета китайской медицины?
С момента внедрения системы Halcyon в 2019 году наша больница пролечила более десяти тысяч пациентов, охватив опухоли всех локализаций, и сформировала достаточно зрелую систему контроля качества и управления клиническими маршрутами. 15 сентября 2025 года в нашей больнице было завершено обновление линейного ускорителя Halcyon до версии 0 с интеграцией передовой технологии визуализационного наведения HyperSight, что сделало нас первым радиотерапевтическим центром на материковом Китае, реализовавшим данное сочетание технологий Varian. Это обновление позволило дополнительно повысить точность, скорость и безопасность лечения.
В настоящее время HyperSight на постоянной основе применяется для верификации укладки при опухолях головы и шеи, грудной и брюшной полости, а также органов малого таза. Благодаря высококачественным возможностям визуализационного наведения команда получает чёткую и надёжную основу для предлечебной проверки и коррекции укладки, что повышает соответствие между фактически выполняемым облучением и планом лечения, одновременно обеспечивая оптимальный баланс между покрытием мишени и защитой нормальных тканей. При наличии соответствующих показаний и организационных условий высококачественная визуализация и оперативная корректировка плана могут выполняться непосредственно в процедурном кабинете, что позволяет точнее учитывать текущее физическое состояние пациента, сокращает время пребывания в аппаратной, снижает нагрузку, связанную с повторяющимися этапами, и в целом улучшает опыт прохождения лечения.
Одновременно наша больница, опираясь на MDT как на ключевую модель, продвигает формат «одного окна» в международной диагностике и лечении, объединяя усилия специалистов внутренней медицины, хирургии, лучевой терапии, интервенционных методов, визуализации, патологии и сестринского ухода для совместного принятия решений и динамической оценки. Лучевая терапия интегрирована в общий маршрут комплексного онкологического лечения. Оснащение Halcyon v0 системой HyperSight дополнительно расширило спектр высококачественных вариантов лечения с визуализированным наведением и стандартизированными процессами в нашей больнице. В дальнейшем мы будем продолжать исследовать передовые модели лечения, такие как адаптивная лучевая терапия и гипофракционированная лучевая терапия, предоставляя большему числу пациентов более индивидуализированные, более эффективные и более безопасные варианты лечения и устойчиво превращая технологические преимущества в повышение качества лечения и улучшение опыта пациентов.
Техническое определение
Halcyon v0 — это интегрированная полностью цифровая платформа лучевой терапии на базе интеллектуального линейного ускорителя, в которой визуализационное наведение является неотъемлемой частью каждого лечебного сеанса. Система оснащена передовой технологией визуализации HyperSight и за счёт скоординированной работы аппаратных компонентов и алгоритмов обеспечивает трёхмерную визуализацию с большим полем обзора, высоким качеством изображения и быстрой скоростью получения данных. Это создаёт надёжную основу для верификации укладки пациента, оконтуривания мишеней и оптимизации дозы облучения, а также поддерживает интеллектуальный адаптивный процесс лучевой терапии SmART.
Механизм действия
Halcyon v0 генерирует высокоэнергетические фотонные пучки с помощью линейного ускорителя для точного облучения опухолевых мишеней, вызывая повреждение ДНК опухолевых клеток и тем самым подавляя их рост и деление. Перед лечением используется трёхмерная визуализация для проверки положения пациента и коррекции укладки, что снижает риск отклонений. HyperSight обеспечивает трёхмерную визуализацию с большим полем обзора, высоким качеством изображения и быстрой скоростью получения данных (86 см × 43 см, около 6 секунд), минимизируя срезы анатомии и артефакты движения. В рамках соответствующих показаний и условий рабочего процесса эта визуализация позволяет выявлять изменения анатомии и выполнять адаптивную корректировку плана SmART, делая облучение максимально соответствующим текущему состоянию анатомии пациента.
Процесс лечения
① Оценка и планирование лечения: Проводится оценка пациента на основе патологических и визуализирующих данных (КТ/МРТ/PET и др.); при необходимости привлекается MDT для определения целей лечения и принципов защиты органов.
② Симуляция и фиксация положения: Обеспечивается фиксирование положения пациента (например, маска/формирующая оболочка) и получение опорного изображения для создания базиса планирования.
③ Контурирование и подтверждение плана: Врачи очерчивают целевую область и органы риска, физики выполняют расчет и оптимизацию дозы, команда проверяет и утверждает план для выполнения.
④ Ежедневное позиционирование пациента: Пациенты приходят по расписанию, фиксируются в положении и проверяются их данные.
⑤ Коррекция с помощью визуализации: Перед каждой сессией HyperSight выполняет трёхмерную визуализацию (iCBCT) для проверки положения и корректировки перед облучением, повышая точность и безопасность.
⑥ Адаптивная корректировка при необходимости: В рамках показаний и условий рабочего процесса, если визуализация выявляет анатомические изменения, влияющие на распределение дозы, выполняется адаптивная корректировка плана SmART с последующей проверкой перед лечением.
⑦ Управление курсом и наблюдение: Лечение проводится по фракциям, контролируется реакция пациента, оказывается поддерживающая терапия; после завершения курса назначаются регулярные контрольные визиты для оценки эффективности и восстановления.
Часто задаваемые вопросы
① При более быстрой iCBCT-съёмке пациентам всё ещё нужно задерживать дыхание?
Ответ: HyperSight выполняет съёмку примерно за 6 секунд, что снижает необходимость долгого задерживания дыхания. Это помогает уменьшить нестабильность, вызванную дыханием, и повысить комфорт пациента. Требование задержки дыхания зависит от зоны лечения и указаний врача.
② В каких случаях применяется SmART адаптивная радиотерапия?
Ответ: Если во время сеанса изображение показывает изменения в мишени или окружающих тканях, которые могут повлиять на распределение дозы, команда оценивает возможность перехода к адаптивному процессу. При соблюдении показаний и условий рабочего процесса можно скорректировать мишень/органы и пересчитать дозу для более точного соответствия текущему анатомическому состоянию.
③ Если планировочный КТ уже сделан, зачем на день лечения снова делать 3D-съёмку?
Ответ: Планировочные изображения устанавливают базовую линию для плана лечения; изображения в день процедуры проверяют положение пациента и актуальное анатомическое состояние. Совместное использование обеспечивает соответствие между запланированной и доставленной дозой при сохранении покрытия мишени и защиты нормальных тканей.
④ Требуется ли госпитализация?
Ответ: Большинство пациентов проходят лечение амбулаторно, по назначенному расписанию. Если необходим более тесный уход или комбинированное лечение, команда оценит ситуацию и предложит наиболее подходящий вариант (амбулаторно или краткосрочная госпитализация).
⑤ На что нужно обращать внимание пациенту во время лечения?
Ответ: Следует сотрудничать с медперсоналом при позиционировании и планировании, сохранять устойчивое положение во время лечения и выполнять указания медицинского персонала. При дискомфорте необходимо сообщать сразу. После радиотерапии важно ухаживать за кожей, корректировать питание и регулярно проходить контрольные обследования для оценки эффективности лечения.
Типичный случай
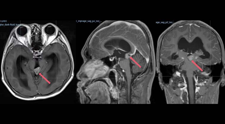
① Случай 1:
Мальчик-подросток, 13 лет
Герминальная опухоль шишковидной железы
Месяц назад у пациента появились головные боли в школе без явной причины. Сначала их не воспринимали всерьёз, затем головные боли постепенно усиливались и сопровождались нарушением походки. Семья обратилась за медицинской помощью. МРТ головного мозга показало образование в шишковидной железе с обструктивной гидроцефалией. Анализы крови выявили умеренно повышенный уровень HCG при нормальных показателях AFP. Клинический диагноз: чистая герминальная опухоль шишковидной железы.
Была проведена прецизионная радиотерапия в дозе 9 Гр/5 фракций. Опухоль шишковидной железы значительно уменьшилась в размере (красная стрелка на изображении указывает на опухоль), гидроцефалия улучшилась, головные боли практически исчезли, походка улучшилась. В дальнейшем лечение проводилось по стандартной схеме химиорадиотерапи для внутричерепных герминальных опухолей.

До лечения

5 сеансов лучевой терапии
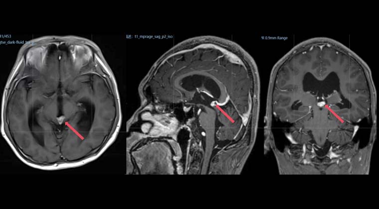
② Случай 2:
Пациент - мужчина, 49 лет
Диффузная крупноклеточная B-клеточная лимфома
002021 до начала лучевой терапии выполнено обычное и контрастное МРТ головы:
Образование в мозолистом теле, распространяющееся на теменную долю, соответствует лимфоме.
102021 проведена радиотерапия очага в головном мозге с использованием 6MV-X лучей, с одновременным интегрированным бустом: PTV1: 40 Гр / 2 Гр / 20 сеансов; PTV2: 36 Гр / 1,8 Гр / 20 сеансов; 5 сеансов в неделю
Повторное МРТ 002021 показало изменения после лечения лимфомы, очаги в черепе уменьшились по сравнению с предыдущими исследованиями.

До лечения:

После лечения:
③ Случай 3:
Пациентка женщина, 59 лет
Рак мочевого пузыря
29.02021 проведено PET/CT обследование: выявлены множественные очаги на передней, задней стенках и дне мочевого пузыря, предполагается рецидив опухоли.
Проведена одновременная химиолучевая терапия (монотерапия цисплатином 20 мг/м² еженедельно) с облучением таза по VMAT 45 Гр, с локальным бустом мочевого пузыря 20 Гр, с применением IGRT.
Через месяц после лучевой терапии контрольное МРТ таза не выявило остаточных опухолевых очагов или признаков рецидива в мочевом пузыре.

До лечения:

После лечения: