Показания
① Применимые ситуации
• Пациенты, которым хирургическое вмешательство противопоказано или которые предпочитают минимально инвазивное лечение: для пожилых, ослабленных пациентов или с недостаточной кардиопульмональной резервной функцией имплантация частиц обычно проводится под визуальным контролем, с небольшим разрезом и относительно быстрым восстановлением.
• Опухоли в сложных анатомических местах с необходимостью сохранения критически важных структур: для очагов, прилежащих к крупным сосудам, нервам или жизненно важным органам, где хирургическое удаление связано с высоким риском, можно провести локальное лечение с максимальным сохранением функций.
• Рецидивирующие или остаточные очаги после химиотерапии/радиотерапии или внешнего облучения: при локальном рецидиве после предыдущего лечения или при ограниченной эффективности внешнего облучения имплантация частиц может использоваться как дополнительная или спасательная локальная терапия.
• Пациенты с опухолями средней и поздней стадии, требующие усиленного локального контроля: в условиях системного лечения для очагов с выраженными симптомами или высокой локальной опухолевой нагрузкой имплантация частиц может облегчить симптомы, улучшить качество жизни и создать условия для последующих терапевтических вмешательств.
② Часто встречающиеся нозологии
Имплантация частиц йода-125 имеет широкую клиническую применимость для локального контроля солидных опухолей в различных системах организма. Чаще всего используется при: раке предстательной железы; раке легкого и опухолях грудной клетки (включая метастазы в легкие, очаги на грудной стенке/в средостении); раке печени и метастазах в печень; раке поджелудочной железы; холангиокарциноме и других абдоминальных опухолях; опухолях головы и шеи (например, носоглотка, ротовая полость, челюстно-лицевые очаги); интраорбитальных опухолях; опухолях мозга; опухолях костей и мягких тканей; паравертебральных и телесных очагах; опухолях таза и рецидивирующих опухолях таза (включая гинекологические очаги); опухолях почек и надпочечников.
Ключевые преимущества
① Точная «высокодозная, локальная» радиотерапия
Частицы вводятся непосредственно в опухоль, создавая дозу облучения, значительно превышающую воздействие на окружающие нормальные ткани. Доза быстро уменьшается с расстоянием, что помогает контролировать очаг и минимизировать облучение соседних органов.
② Малый радиус действия, минимальное воздействие на окружающие ткани
Эффективный радиус действия частиц йода-125 составляет примерно 7-0 см. При правильном проектировании мишени достигается высокая конформность облучения, что обеспечивает относительно низкие дозы для нецелевых областей и обычно более хорошую общую переносимость.
③ Не зависит от «эффекта теплоотвода» кровотоком, позволяет высоко конформное проектирование мишени
Так как это радиотерапия, а не термическая абляция, эффективность не зависит от нагрева или охлаждения и не подвержена тепловому отводу кровью. Пред- и интраоперационное планирование позволяет максимально точно разместить источники в соответствии с морфологией опухоли, особенно для сложных или высоко васкуляризованных очагов.
④ Непрерывное облучение с низкой скоростью дозирования, охватывающее клетки опухоли на разных стадиях пролиферации
Период полураспада частиц составляет около 54 дней, эффективное действие продолжается примерно 180 дней, что представляет собой непрерывное облучение с низкой скоростью дозирования. По сравнению с однократным внешним облучением, этот подход лучше соответствует характеристикам клеточного цикла опухоли, подавляя деление и рост клеток в течение длительного времени.
⑤ Миниатюрные радиоактивные источники в титановом сплаве с хорошей биосовместимостью и стабильностью
Частицы заключены в титановые трубки (примерно 0.8×5 мм). Титановый корпус биосовместим, облегчает размещение и длительное нахождение в организме, а герметичная конструкция снижает риск утечки радиации.
⑥ Обеспечивает «локальное усиление» для пациентов с поздними стадиями или рецидивами
Для очагов, неподходящих для операции, ограниченных дозой внешнего облучения или недостаточно контролируемых системной терапией, имплантация частиц служит локальным дозовым дополнением или спасательной терапией. Она может облегчить симптомы, контролировать локальный рост опухоли и сочетаться с интервенционными или системными методами для создания благоприятных условий для последующей комплексной терапии.
Почему выбирают больницу Цзиньшачжоу?
① Индивидуальное размещение источников: «Персонализированная расстановка» на основе 3D-планирования TPS
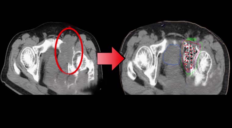
В нашей больнице для лечения частицами йода-125 соблюдается стандартизированный путь «сначала планирование, затем выполнение, после — проверка». Используя систему TPS 3D и данные КТ, команда очерчивает область цели и проектирует распределение дозы, учитывая объем и форму опухоли, а также расстояние до критически важных структур. Рассчитывается количество частиц, пути игл и плотность размещения, чтобы распределение доз максимально соответствовало цели и обеспечивалось высокое соответствие дозы форме опухоли.
② Реальная проверка во время операции: недостатки дозы можно исправить сразу
Во время процедуры особое внимание уделяется проверке планирования и контролю качества. Если изображение или оценка дозы показывает недостаточное покрытие очага, при соблюдении безопасности можно добавить дополнительные частицы для оптимизации, повышая полноту и согласованность покрытия цели, обеспечивая плавный переход лечения от «плана» к «выполнению».
③ Мультидисциплинарное сотрудничество: интеграция имплантации частиц в общий план лечения
Для пациентов с поздними или рецидивирующими опухолями больница использует оценку MDT для объединения имплантации частиц с интервенционной терапией, системной терапией, радиотерапией и поддерживающей помощью. Такой подход контролирует локальные очаги, одновременно учитывая облегчение симптомов и качество жизни, делая имплантацию частиц важной частью комплексного лечения.
Техническое определение
Имплантация частиц йода-125 является формой брахитерапии (внутренней радиотерапии). Под контролем КТ, УЗИ или других методов визуализации используется система планирования TPS для разработки трёхмерного распределения дозы. Через кожный прокол герметичные радиоактивные источники — частицы йода-125 — вводятся в опухоль или её инфильтрирующие участки согласно плану лечения. Это обеспечивает непрерывное облучение с низкой дозой в целевой области, достигая точного локального контроля опухоли при минимальном воздействии на окружающие нормальные ткани.
Механизм действия
Частицы йода-125 непрерывно распадаются в организме, испуская низкоэнергетические γ-лучи (примерно 27–35 кэВ) с эффективным диапазоном около 5–0 см. Поскольку частицы непосредственно внедряются в опухоль, целевая область получает более высокую локальную дозу облучения, при этом доза быстро уменьшается с расстоянием, что снижает воздействие на окружающие ткани.
Биологические эффекты включают: прямое действие, при котором радиация вызывает разрывы цепей ДНК в опухолевых клетках, подавляя митоз и размножение клеток; и косвенное действие, при котором радиация взаимодействует с молекулами воды в ткани, образуя свободные радикалы (например, H⁺, OH⁻), что дополнительно повреждает ДНК и вызывает гибель клеток. Непрерывное облучение с низкой скоростью дозы частиц обеспечивает покрытие опухолевых клеток на разных стадиях пролиферации в течение длительного времени, усиливая контроль над локальным очагом.
Процесс лечения
① Обследование и локализация очага
Выполнить КТ для определения расположения, размера опухоли и её соотношения с окружающими тканями, предоставляя трёхмерные данные для планирования лечения.
② Планирование в TPS (предоперационное)
На основе TPS выделить объём опухоли (GTV). Учитывая характеристики очага, назначить предписанную дозу (PD), спланировать пути введения игл, распределение игл, количество частиц и их пространственное расположение, чтобы распределение дозы соответствовало целевой области, достигая высокой конформности.
③ Локализация точки пункции и установка иглы под КТ
Под контролем КТ (или другого визуализирующего метода) определить точку пункции и ввести иглу через кожу в целевую область опухоли, располагая пути игл и глубину введения согласно плану.
④ Имплантация частиц (пошагово по плану)
С помощью устройства для имплантации выпустить частицы на разных глубинах вдоль каждого пути иглы. Завершить имплантацию для всех игл так, чтобы распределение радиационной дозы максимально соответствовало целевой области опухоли.
⑤ Интраоперативная проверка и добавление частиц (верификация плана)
Выполнить реальную проверку плана во время операции для оценки покрытия целевой области дозой. При обнаружении участков с недостаточной дозой при необходимости добавить частицы для оптимизации покрытия и конформности.
⑥ Завершение процедуры и обработка раны
После имплантации извлечь иглы. Продезинфицировать, прижать или забинтовать место пункции и провести необходимое наблюдение.
⑦ Послеоперационная оценка и наблюдение
Объединить послеоперационное визуализирующее обследование с оценкой дозы для подтверждения распределения частиц и покрытия цели. Следовать указаниям врача по наблюдению, оценивать локальный контроль и возможные побочные реакции, а также планировать дальнейшее комплексное лечение.
Безопасность и меры предосторожности
① Соблюдать основные принципы защиты во время и после процедуры
Следовать принципу «расстояние–время–ключевые группы» согласно указаниям врача, избегая ненужного длительного или близкого контакта.
② Ограничить контакт с детьми, беременными и кормящими женщинами
Следовать медицинским рекомендациям, чтобы уменьшить длительный близкий контакт с этими группами.
③ Ограничения на физическую активность в краткосрочном периоде и уход за местом пункции
Избегать бега, прыжков, подъёма тяжестей и резких скручиваний в краткосрочном периоде, чтобы не вызвать кровотечения или дискомфорта в месте пункции. Держать место пункции в чистоте и сухости, менять повязки согласно указаниям, при появлении покраснения, отёка, боли, кровотечения или температуры обращаться к врачу.
Часто задаваемые вопросы
① Нужно ли извлекать частицы?
Обычно нет. Радиоактивность частиц постепенно снижается, а оболочка выполнена из герметичного титана, поэтому частицы обычно могут оставаться в теле длительное время без хирургического удаления.
② Проводится ли имплантация частиц йод-125 под местной или общей анестезией?
В большинстве случаев применяется местная анестезия. Необходимость более глубокой анестезии зависит от расположения опухоли, сложности пути пункции, длительности процедуры и переносимости пациентом, окончательное решение принимается согласно оценке анестезиолога и плану лечащего врача.
③ Сколько времени занимает восстановление после процедуры?
После процедуры обычно требуется кратковременное наблюдение, а также уход за местом пункции и контроль активности согласно указаниям врача. Большинство пациентов может относительно быстро возобновить лёгкую повседневную активность, но следует избегать интенсивных физических нагрузок и тяжёлой работы в короткий период. Частота и сроки обследований зависят от расположения опухоли, объёма лечения и индивидуальных особенностей, в соответствии с указаниями врача.
Типичные случаи
① Случай 1:
Пациентка: женщина, 58 лет, плоскоклеточный рак шейки матки
Пациентка обратилась в нашу больницу примерно через полмесяца после последнего курса химиотерапии из-за послеоперационного рецидива.
КТ показало вторичные злокачественные очаги в печени.
После консультации специалистов по онкологии было решено провести имплантацию частиц йод-125 в метастатические очаги печени.

Левая картинка: КТ до операции
Правая картинка: Через месяц после лечения, контрольная КТ (очаги опухоли явно исчезли)
② Случай 2:
Пациент, 75 лет, рак лёгкого
После оценки выполнена имплантация частиц I-125 под контролем визуализации.
Очаг до лечения примерно 4×4 см.
Контроль через ~50 дней после лечения показывает значительное уменьшение очага, в исходной области опухоли измеримых образований не обнаружено.

Пациент 75 лет с раком лёгкого, полное исчезновение опухоли через 50 дней после имплантации частиц I-12
До лечения:
Опухоль 4×4 см
После лечения:
Полное исчезновение опухоли
③ Случай 3:
Пациент с раком предстательной железы с костными метастазами. После имплантации частиц I-125 костная опухоль значительно уменьшилась.

Рак предстательной железы с костными метастазами
До лечения
После лечения
После имплантации частиц костная опухоль значительно уменьшилась