Показания к применению
① Классические ситуации, наиболее подходящие для Гамма-ножа
· Внутричерепные очаги малого и среднего объёма с чёткой локализацией.
· Очаги в анатомически сложных зонах с высоким риском открытого хирургического вмешательства, например вблизи ствола мозга, таламуса, кавернозного синуса и других критически важных областей.
· Остаточные или рецидивные очаги после хирургического лечения — как один из вариантов дополнительной терапии или закрепления локального контроля.
· Ситуации, требующие минимально инвазивного подхода, включая пациентов пожилого возраста, пациентов с сопутствующими заболеваниями, низкой переносимостью операции, а также отдельные случаи, когда необходим локальный контроль метастазов головного мозга.
② Часто встречающиеся нозологии
· Цереброваскулярные мальформации: артериовенозные мальформации (AВМ), кавернозные мальформации и другие.
· Внутричерепные опухоли: аденомы гипофиза, невриномы слухового нерва (вестибулярные шванномы), менингиомы, шванномы, метастазы в головной мозг и другие.
· Функциональные неврологические заболевания: невралгия тройничного нерва, отдельные формы эпилепсии и др.
Ключевые преимущества
① Стереотаксическая точность субмиллиметрового уровня
Множество узких пучков из разных источников сходятся в пределах мишени, формируя более концентрированное распределение дозы. Это позволяет максимально охватить очаг при одновременном снижении облучения окружающих здоровых тканей мозга и критически важных нервных структур, что способствует лучшей защите функционально значимых зон и уменьшению вероятности побочных эффектов и рисков.
② Минимально инвазивный метод без разрезов, снижение хирургической нагрузки
Не требуется трепанация черепа, а общая анестезия, как правило, не нужна. Это уменьшает риски, связанные с открытой операцией, такие как кровотечение, инфекция и ликворея, а также снижает восстановительную нагрузку. Метод особенно подходит пациентам, которым противопоказано хирургическое вмешательство, или тем, кто предпочитает более мягкий вариант лечения.
③ Более щадящее воздействие на критические нервы и важные структуры
При очагах, расположенных вблизи ствола мозга, зрительных путей, черепных нервов и других зон повышенного риска, высокоточная планировка позволяет максимально адаптировать лечение к форме очага, снижая ненужное облучение критических структур и повышая вероятность сохранения функций.
④ Более короткое лечение и меньшее влияние на повседневную жизнь
Этапы от позиционирования до проведения лечения во многих случаях могут быть выполнены за относительно короткое время. Во время процедуры большинство пациентов не испытывают боли либо отмечают лишь незначительный дискомфорт. После краткого наблюдения возможна выписка в тот же день или кратковременное пребывание в стационаре, что минимально влияет на повседневную жизнь и работу и позволяет быстрее вернуться к обычному ритму.
⑤ Возможность лечения нескольких очагов и дополнительной терапии
При соответствующих показаниях возможно одновременное планирование лечения нескольких внутричерепных очагов. Метод также широко применяется для дополнительного облучения остаточных или рецидивных очагов после операции, способствуя повышению стабильности локального контроля.
⑥ Использование поэтапного облучения для повышения безопасности
При очагах большого объёма или расположенных рядом с критически важными структурами лечение может проводиться поэтапно. Такой подход позволяет сохранить эффективность терапии и одновременно снизить риск нежелательных реакций.
Почему выбирают больницу Цзиньшачжоу?
Гамма-нож — это технология стереотаксической радиохирургии, требующая чрезвычайно высокой точности локализации и контроля качества всех этапов процедуры. Чтобы «фокусированное облучение» действительно было доставлено пациенту, в нашей больнице разработаны стандартизированные пути, охватывающие оценку, локализацию, планирование, проведение лечения и последующее наблюдение с контролем со стороны радиационных онкологов, нейрохирургов, специалистов по визуализации и медицинских физиков. Перед лечением цели терапии и ожидаемые результаты тщательно обсуждаются, строго соблюдаются показания и противопоказания, что обеспечивает обоснованность, проверяемость и прослеживаемость охвата мишени и защиту критически важных структур.
Больница оснащена Гамма-ножом FreeGS-A, что дает возможность проводить стереотаксическую радиохирургию с субмиллиметровой точностью. Кроме того, с использованием платформ визуализации, таких как PET-CT, МРТ 1,5T/3,0T, КТ с большим отверстием и DSA, можно провести полную предлечебную оценку запущенности заболевания и локализационное обследование, обеспечивая поддержку в контурировании мишени, планировании доз и оптимизации плана. С момента запуска центра в 2020 году накоплен богатый клинический опыт, создана зрелая система управления процессом и повторной оценки при наблюдении.
Еще важнее то, что в нашей больнице используется подход на основе многопрофильной команды (MDT) для координации лечения, обеспечивающий согласованность и управление в режиме «одного окна». Перед лечением уточняется роль и время применения Гамма-ножа в общей схеме лечения, при необходимости согласовывается последовательность и ключевые моменты с хирургией, интервенционной или системной терапией. Во время лечения команда совместно организует пошаговое выполнение локализационных снимков, планов облучения и проверок безопасности. После лечения проводятся контрольные оценки по графику, а последующие планы своевременно корректируются в зависимости от изменений на изображениях и симптомов. Стандартизированная организация процессов и управление данными минимизируют перемещения пациента между отделениями, делая план лечения более последовательным и надежным в исполнении.
Техническое определение
Официальное название Гамма-ножа — «Система стереотаксической радиохирургии для нейрохирургии». Гамма-нож не является системой для традиционной хирургической резекции; это метод фокусированной радиотерапии, не требующий вскрытия черепа. С помощью нейрохирургической стереотаксической технологии множество узких пучков гамма-излучения точно фокусируются на очаге внутри черепа в трёхмерном пространстве, проводя облучение за один или несколько сеансов. Такой подход концентрирует терапевтическую дозу на очаге для контроля заболевания. Доза быстро снижается за пределами цели, а граница между очагом и окружающей нормальной тканью относительно чёткая, поэтому метод образно называют «Гамма-нож».
Механизм действия
① Источник излучения: Гамма-нож в основном использует кобальт-60 (Co-60) в качестве источника излучения, испуская γ-лучи. Гамма-лучи — это высокоэнергетические электромагнитные волны, которые подавляют размножение клеток опухоли за счёт повреждения ДНК клеток и других механизмов, достигая терапевтического эффекта.
② Принцип многопучкового фокусирования: Устройство формирует излучение в несколько узких пучков, направленных одновременно на одну и ту же цель с разных направлений.
③ Особенности распределения дозы: Доза каждого отдельного пучка на его пути относительно низкая; в зоне цели пучки сходятся и накладываются, создавая область высокой дозы и концентрируя действие на очаге. Окружающая нормальная ткань получает сравнительно меньшую дозу, при этом доза значительно падает за пределами целевой зоны.
Процесс лечения
① Оценка и подтверждение плана: Медицинская команда оценивает целесообразность лечения на основе анамнеза, симптомов и данных МРТ/КТ головы. При необходимости проводится междисциплинарное обсуждение для определения роли и времени применения Гамма-ножа в общей схеме лечения, после чего разрабатывается индивидуальный план лечения.
② Стереотаксическая установка и обследование: Для обеспечения точности позиционирования обычно устанавливается головная рамка под местной анестезией. Затем выполняется МРТ головы для локализации (при необходимости в сочетании с КТ) для получения изображений, необходимых для планирования.
③ Планирование лечения: Врач и медицинский физик в специализированной программе выполняют контурирование цели и разработку режима дозирования. Фокусные точки, доза и зона облучения подбираются индивидуально, чтобы покрытие очага соответствовало поражению и одновременно минимизировалось облучение окружающих нормальных тканей.
④ Проведение лечения: Пациент обычно находится в сознании, лежит на спине в лечебной камере, головная рамка фиксирована на столе. Аппарат автоматически выполняет фокусированное облучение согласно плану.
⑤ Наблюдение и последующее сопровождение: После лечения рамка снимается, проводится кратковременное наблюдение. При отсутствии нежелательных эффектов пациент пациент может быть выписан или находиться на краткосрочном стационарном наблюдении. Последующее обследование проводится по назначению для оценки эффективности и контроля реакции организма.
Часто задаваемые вопросы
① Исчезнет ли очаг сразу после лечения Гамма-ножом?
Ответ: Нет. В отличие от операции, при которой очаг удаляется непосредственно, изменения после лечения Гамма-ножом обычно происходят постепенно. В течение нескольких месяцев очаг может демонстрировать снижение контрастирования, некроз/кистозные изменения, затем постепенно уменьшаться или оставаться стабильным в долгосрочной перспективе. Регулярные контрольные обследования проводятся по указанию врача.
② Болезненно ли лечение? Требуется ли общий наркоз?
Ответ: В большинстве случаев общий наркоз не требуется. Установка рамки для головы обычно выполняется под местной анестезией, пациент находится в сознании во время облучения и, как правило, не испытывает выраженной боли.
③ Сколько времени занимает одна процедура? Нужна ли госпитализация?
Ответ: Само облучение обычно занимает несколько десятков минут. В рамках дня процедуры проводятся локализация, планирование и облучение, общая длительность зависит от очага и организации процесса. После лечения обычно проводится кратковременное наблюдение. Вопрос о госпитализации и конкретные меры определяются врачом с учётом состояния пациента, общего здоровья и целей лечения.
④ Какие реакции могут возникнуть после лечения? Когда следует обращаться к врачу?
Ответ: В краткосрочной перспективе могут появляться лёгкая головная боль, головокружение, слабость или колебания симптомов, большинство из которых поддаются облегчению. Немедленно обратитесь к врачу при усилении головной боли, частой рвоте, изменениях зрения, слабости конечностей или нарушениях сознания.
⑤ Какие меры предосторожности нужно соблюдать после лечения?
Ответ: Отдыхать согласно указаниям врача, в течение короткого периода избегать переутомления и интенсивных физических нагрузок. Следовать плану контрольных обследований, включая МРТ головы для оценки эффективности лечения и возможных реакций.
Типичный случай
① Случай 1:
Пациент: мужчина, 26 лет
В 2018 году в связи с эпилепсией выявлена церебральная артериовенозная мальформация (АВМ), выполнено интервенционное эмболизирование.
Так как приступы продолжались, в апреле 2021 года пациент обратился в нашу клинику с просьбой о лечении Гамма-ножом.
Рисунок 1: Первое лечение Гамма-ножом 26.04.2021

Рисунок 2: Второе лечение Гамма-ножом 03.11.2021

Рисунок 3: МРТ контроль 22.02.2023 — видно значительное сокращение аномальных сосудов, приступы прекратились.

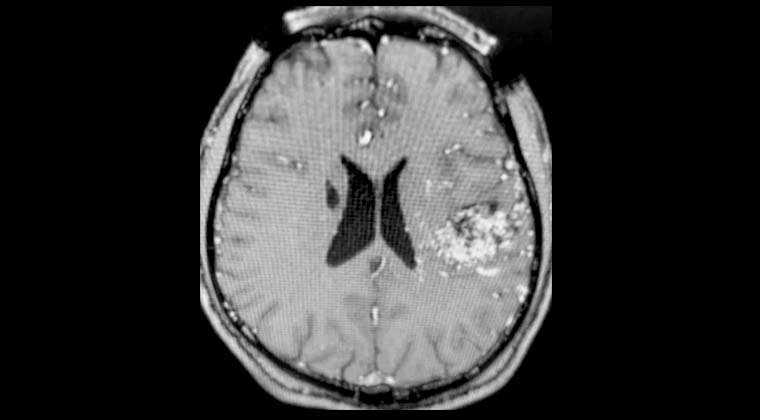
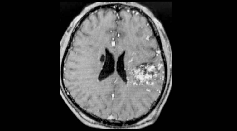
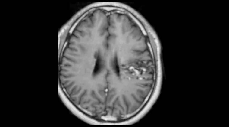
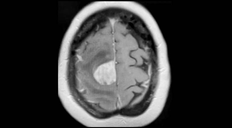
② Случай 2:
Пациентка: женщина, 56 лет
Жалобы: слабость в левой стороне тела, нарушение походки в течение 2 недель. Диагноз: множественные метастазы рака легких в головной мозг.

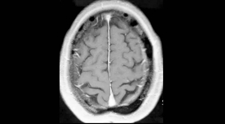
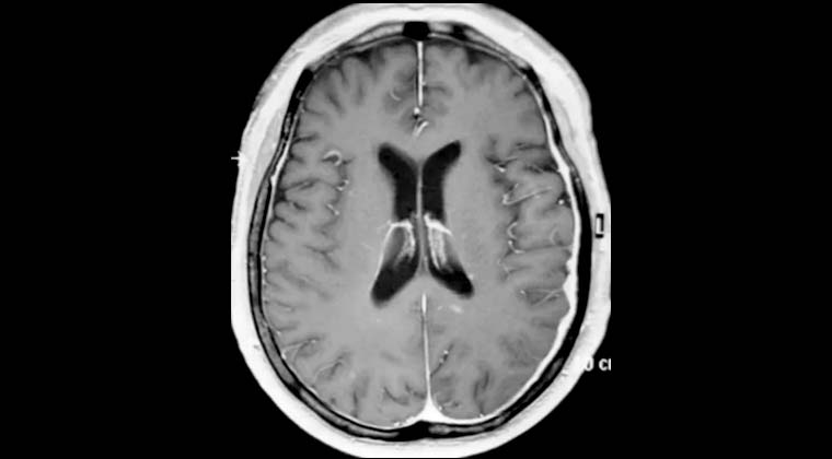
Рисунок 1: 25.02.2022 Планирование лечения Гамма-ножом опухоли в правой лобной доле, выраженный перифокальный отёк.
Рисунок 2: 25.02.2022 Одновременно проведено лечение Гамма-ножом опухоли в левой височной доле.

Рисунок 3: 25.07.2022, через 5 месяцев после лечения контрольное МРТ показало, что опухоль в правой лобной доле исчезла, пациентка ходит самостоятельно.

Рисунок 4: 25.07.2022, контрольная МРТ показывает, что опухоль в левой височной доле также исчезла.

③ Случай 3:
Пациент: мужчина, 65 лет
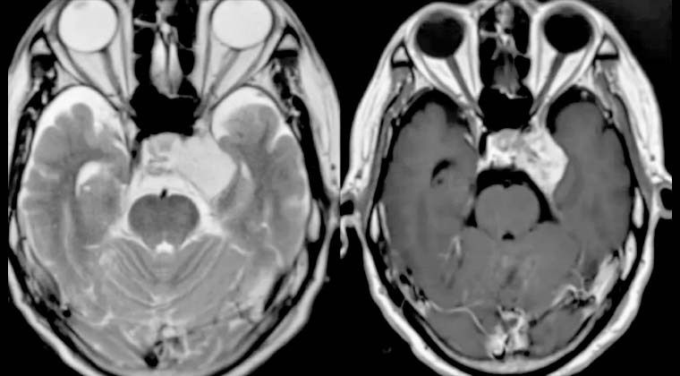
Кавернозная гемангиома кавернозного синуса
Рисунок 1: 10.06.2020 Планирование лечения Гамма-ножом

Рисунок 2: 06.01.2021, через 6 месяцев после лечения Гамма-ножом очаг значительно уменьшился
