Показания
① Применимые ситуации
• Локально контролируемые солидные опухоли: Нанонож — метод локальной терапии, обычно применяемый при относительно ограниченных очагах, когда можно достичь покрытия целевой зоны с чёткой целью лечения.
• Очаги, прилегающие к критически важным структурам, требующие сочетания эффективности и сохранения структуры: когда опухоли находятся рядом с крупными сосудами, желудочно-кишечным трактом, желчными протоками/желчным пузырём, поджелудочной железой, диафрагмой, сердцем или другими ключевыми структурами.
• Желание провести локальную абляцию с сохранением критически важных структур: Нанонож действует на клеточном уровне с минимальным воздействием на волокнистые и соединительные ткани, особенно ценен в областях с высокой плотностью важных протоков, сосудов или нервов.
• Акцент на индивидуальное принятие решения: при крупных очагах или наличии отдалённых метастазов польза локальной абляции может быть ограничена и должна оцениваться специализированной командой для выработки общей стратегии лечения.
② Часто встречающиеся нозологии
• Солидные опухоли печени, особенно очаги, близкие к кишечнику или крупным сосудам.
• Солидные опухоли поджелудочной железы и других областей с высокой плотностью сосудистых и протоковых структур.
• Особые участки в области печени, желчных протоков и поджелудочной железы.
• Солидные опухоли в воротах лёгких или почек, где нервные и сосудистые структуры расположены плотно.
Ключевые преимущества
• Нетепловой механизм абляции: Нанонож действует преимущественно через электропорацию на клеточном уровне, не опираясь на тепло или холод. Для случаев, когда традиционная тепловая или криоабляция затруднительно сочетает «безопасные границы» с «полным охватом», либо при ограничениях обычной хирургии, Нанонож представляет новый вариант лечения.
• Акцент на защите критически важных структур: оказывает минимальное воздействие на волокнистые структуры и соединительную ткань из белков, предоставляя потенциальное преимущество в защите сосудов, нервов, желчных протоков, мочеточников и других ключевых структур в целевой зоне.
• Подходит для локального лечения опухолей в зонах высокого риска: особенно эффективен для опухолей, расположенных рядом с крупными сосудами, желудочно-кишечным трактом, желчевыводящей системой, поджелудочной железой, сердцем и другими чувствительными участками.
Почему выбирают больницу Цзиньшачжоу?
Наша больница внедрила эту передовую минимально инвазивную технологию в начале 2022 года и успешно провела абляцию Наноножом двум пациентам с злокачественными опухолями печени. Как одна из первых клиник в провинции Гуандун, мы накопили ценный опыт в стандартизации новых технологий, построении процедурных потоков и клиническом применении.
Решения по лечению Наноножом в нашей больнице принимаются в рамках зрелой мультидисциплинарной (MDT) системы. Для солидных опухолей, таких как печеночные, интервенционная/минимально инвазивная команда ведет оценку совместно с радиологией, анестезиологией, онкологией, радиотерапией и другими профильными специалистами: оценивается, подходит ли очаг для локального лечения, изучаются границы риска относительно крупных сосудов, желчных протоков, желудочно-кишечного тракта, а также определяется необходимость координации с интервенционной, радиотерапией или системной терапией. После обсуждения в MDT и формирования индивидуального плана проводится установка электродов и контроль безопасных границ под визуальным контролем, обеспечивая полный цикл принятия решений от оценки показаний до составления плана лечения.
В рамках этой MDT-системы Нанонож — это не просто единичная технология, а ключевой инструмент комплексной системы лечения больницы. Он предоставляет новый вариант лечения для сложных случаев, неподходящих для хирургического удаления или требующих высокой защиты критически важных структур, а также создает благоприятные условия для последующей комплексной терапии и дальнейшего наблюдения.
Техническое определение
Нанонож (необратимая электропорация, IRE) — это инновационная технология абляции опухолей. При воздействии определенными электрическими импульсами на мембраны клеток целевой зоны формируется эффект необратимой электропорации, что приводит к инактивации опухолевых клеток. Особенности: абляция происходит преимущественно на клеточном уровне, не основана на экстремальных температурах и не вызывает значительных тепловых изменений; относительно более благоприятна для сохранения критически важных трубчатых и каркасоподобных структур в целевой области, таких как сосуды, нервы, желчные протоки и мочеточники.
Механизм действия
Под контролем визуализации электроды вводятся внутрь или вокруг опухолевой цели. При подаче высоковольтных электрических импульсов на мембраны опухолевых клеток формируются многочисленные нанометровые поры, достигается эффект необратимой электропорации, что приводит к разрушению опухолевых клеток и их апоптозу.
Процесс лечения
① Предпроцедурная оценка: Провести полное обследование с визуализацией для оценки расположения и объема очага, его связи с важными структурами, и разработать индивидуальный план лечения.
② Подготовка к анестезии и позиционирование пациента.
③ Чрескожное размещение электродов под визуальным контролем: по плану, под руководством КТ, вставить и разместить электроды.
④ Проведение абляции: выполнить запланированное воздействие электрическими импульсами.
⑤ Оценка после процедуры: оценить состояние обработанной зоны с помощью контрольной визуализации.
⑥ Последующее наблюдение и контроль: проводить плановые визиты и контроль показателей.
Типичный случай
① Случай 1:
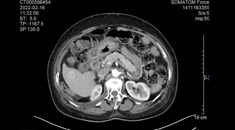
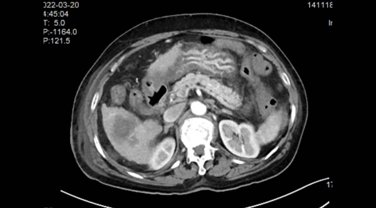
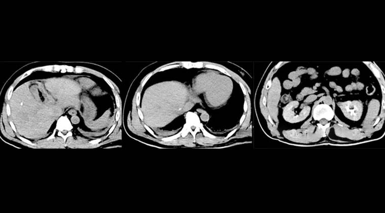
Пациент: женщина, 70 лет, злокачественная солидная опухоль печени, очаг расположен рядом с кишечником.
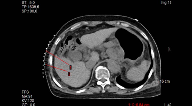
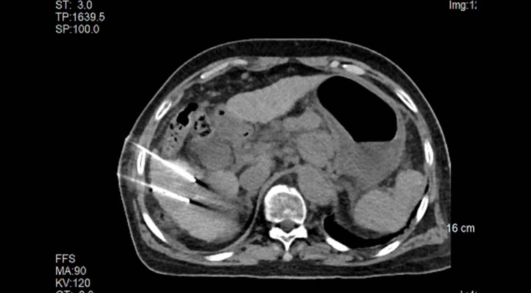
Процедура: выполнена под общим наркозом. Через чрескожный прокол были размещены два электрода, охватывающие очаг, после чего проведена абляция. Во время процедуры сила поля оставалась стабильной, ток заметно увеличился, абляция прошла успешно.
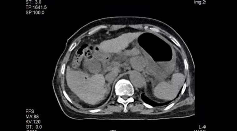
После процедуры: на контрольной КТ с контрастированием границы очага четкие, зона абляции без выраженного усиления.

КТ с контрастированием перед процедурой

Планирование расположения электродов перед процедурой

Точная чрескожная пункция опухоли под контролем интраоперационной КТ

КТ без контраста сразу после процедуры

Контрольная КТ с контрастированием на 3-й день после процедуры
② Случай 2:
Пациент: мужчина, 53 года, злокачественная опухоль печени

(предпроцедурная визуализация)

(визуализация сразу после процедуры)