Показания
① В первую очередь показана пациентам со злокачественными опухолями, при которых печень является основным очагом поражения:
• Первичный рак печени или метастазы в печени с преимущественно внутрипечёночным поражением, требующие усиленного локального контроля;
• Пациенты, утратившие возможность хирургического лечения или не подходящие для радикальной резекции, трансплантации или абляции (например, при сложной локализации опухоли или высоком операционном риске);
• Пациенты, у которых потенциально сохраняется возможность операции или трансплантации, но требуется «мостовая терапия»: например, для сдерживания прогрессирования опухоли и уменьшения её объёма в период ожидания трансплантации печени;
• Пациенты с неудовлетворительным контролем заболевания после других методов лечения, например при метастазах колоректального рака в печени, плохо поддающихся интервенционному или системному лечению;
• Как правило, метод более подходит пациентам с относительно сохранённым функциональным резервом печени и опухолевой нагрузкой, находящейся в пределах объективной оценки.
② Наиболее частые нозологии
• Первичный рак печени
• Метастазы в печени: в особенности метастазы колоректального рака, а также метастазы других опухолей, включая нейроэндокринные опухоли и рак молочной железы
Ключевые преимущества
① Комбинация «интервенционное лечение + внутренняя лучевая терапия»: Микросферы вводятся по артериальному руслу непосредственно в сосуды, питающие опухоль. В отличие от наружного облучения, лечение проводится внутри печени и обеспечивает точный локальный эффект.
② Короткая длина пробега β-излучения и ограниченная зона облучения: Иттрий-90 испускает высокоэнергетическое β-излучение, действующее преимущественно на ткани вокруг микросфер. Ограниченная глубина проникновения позволяет повысить дозу в опухолевом очаге и одновременно снизить воздействие на окружающую здоровую печёночную ткань.
③ Длительное действие после одного вмешательства: После доставки микросферы продолжают излучать радиацию в течение нескольких недель, формируя стабильный период локального лечения и облегчая последующую оценку эффекта и планирование комбинированной терапии.
④ Точное планирование с индивидуальным подбором дозы и зоны введения: Перед лечением проводится комплексная оценка опухоли и питающих сосудов с уточнением сосудистого хода, коллатералей и зон кровоснабжения. На этой основе рассчитываются индивидуальная доза и стратегия введения, что повышает точность и безопасность лечения.
⑤ Создание условий для последующих этапов терапии: Для части пациентов ценность терапии иттрием-90 заключается не только в самом вмешательстве, но и в создании возможностей для дальнейшего лечения. Когда основную проблему составляет внутрипечёночная опухолевая нагрузка, Y-90 часто включается в MDT-стратегии в сочетании с иммунотерапией, таргетной терапией или химиотерапией для усиления локального контроля и повышения реализуемости общего лечебного плана.
Почему выбирают больницу Цзиньшачжоу?
С июля 2023 года, после получения нашей больницей разрешения на проведение терапии микросферами иттрия-90, выполнены сотни соответствующих вмешательств, что позволило сформировать воспроизводимые стандартизированные процессы и устойчивый клинический опыт. Это дает возможность предлагать более целенаправленные варианты лечения пациентам со злокачественными опухолями печени, характеризующимися высокой опухолевой нагрузкой, сложностью хирургического вмешательства, нерезектабельностью или недостаточным эффектом других методов лечения.
Преимущество нашей больницы заключается не только в возможности проведения процедуры, но и в ее высокой степени детализации. Опираясь на платформу Международного центра прецизионной онкологии, мы начинаем лечение с много дисциплинарной командной оценки (MDT), объединяя интервенционную медицину, онкологию, лучевую диагностику, гепатологию и другие ключевые направления. Функциональный резерв печени, опухолевая нагрузка и сосудистая анатомия анализируются поэтапно, чтобы заранее определить риски и оптимальный путь лечения. В ходе терапии особое внимание уделяется индивидуализированному расчету дозы и стратегии доставки, а стандартизированные протоколы и строгий контроль качества охватывают предоперационный этап, саму процедуру и последующее наблюдение, с целью усиления локального контроля опухоли при максимальной защите нормальной печеночной ткани и сохранении общей переносимости лечения.
В перспективе наша больница продолжит совершенствовать стандартизированный путь «точная оценка – малоинвазивное локальное лечение – координация комплексных схем», используя более зрелый клинический опыт, более тесное междисциплинарное взаимодействие и более строгий контроль процесса, чтобы предоставить большему числу пациентов со сложными опухолями печени шанс на лечение и более высокое качество жизни.
Техническое определение
Это современная малоинвазивная транскатетерная технология прецизионного внутреннего облучения, специально предназначенная для лечения злокачественных опухолей печени и сочетающая эмболизацию с внутренней лучевой терапией. Метод применяется преимущественно при первичном раке печени и различных вариантах метастатического поражения печени.
Через пункцию бедренной артерии микросферы, содержащие радиоактивный изотоп иттрия-90, точно доставляются в область опухоли, где они непрерывно испускают высокоэнергетическое бета-излучение. Бета-излучение отличается короткой длиной пробега и высокой точностью, эффективно уничтожает опухолевые клетки и уменьшает объем опухоли, при этом не повреждая нормальные ткани. Эффект одной процедуры может сохраняться в течение нескольких недель.
Принцип работы / механизм действия
Радиоактивные микросферы точно доставляются в область опухоли через бедренную артерию, где они испускают высокоэнергетическое бета-излучение. Бета-излучение обладает короткой длиной пробега и высокой точностью, что позволяет прицельно уничтожать опухолевые клетки с максимальным сохранением нормальных тканей. Эффект одной процедуры может сохраняться в течение нескольких недель.
Процесс лечения
① Предоперационная оценка
Оценка распределения опухоли, функционального резерва печени и общего состояния пациента. При необходимости тактика лечения определяется на MDT-консилиуме.
② Сосудистое обследование и «симуляция / репетиция»
Проводятся ангиография и другие исследования для уточнения питающих опухоль сосудов, коллатеральных ветвей и зоны кровоснабжения с целью выбора оптимальной точки и пути введения.
③ Индивидуальное планирование дозы
На основе полученных данных выполняется дозиметрическое планирование с индивидуальным подбором дозы микросфер иттрия-90 с учетом достаточного покрытия опухоли и защиты нормальной печеночной ткани.
④ Выполнение интервенционного лечения
Через пункцию бедренной артерии проводится катетеризация; под визуальным контролем катетер заводится в основные ветви артерий, питающих опухоль, после чего микросферы иттрия-90 вводятся в соответствии с планом.
⑤ Послеоперационное наблюдение и последующее ведение
Проводится краткосрочное наблюдение и плановые контрольные исследования визуализации и функции печени для оценки распределения микросфер и локальной реакции, при необходимости с последующей интеграцией в комплексное лечение.
Безопасность и меры предосторожности
Радиоактивность со временем снижается: радиоактивность иттрия-90 постепенно ослабевает с течением времени. После лечения следует проходить контрольные обследования и соблюдать рекомендации по образу жизни согласно назначениям врача. Как правило, специальная радиационная защита не требуется, однако необходимо соблюдать правила радиационной безопасности, разъяснённые медицинским учреждением.
Часто задаваемые вопросы
① Требуется ли многократное лечение?
Терапия иттрием-90, как правило, проводится однократно. Цель лечения — обеспечить достаточное покрытие зоны кровоснабжения опухоли микросферами и их длительное локальное действие, поэтому повторные процедуры обычно не требуются. Необходимость повторного лечения или добавления других локальных либо системных методов определяется по результатам послеоперационного визуализирующего контроля и оценке MDT.
② Какие побочные реакции встречаются чаще всего?
Большинство побочных реакций носят кратковременный и контролируемый характер. К наиболее частым относятся: слабость, субфебрильная температура или лихорадка (возможна связь с реакцией всасывания продуктов некроза опухоли), тошнота, снижение аппетита и другие диспепсические явления, дискомфорт или боль в верхней части живота либо в области печени (что может быть связано с местной воспалительной реакцией, некрозом опухоли или отёком печёночной ткани с раздражением капсулы). При появлении стойкой высокой температуры (≥38,5 °C), выраженной рвоты с невозможностью приёма пищи, трудно купируемой боли или резкого ухудшения симптомов рекомендуется незамедлительно обратиться за медицинской помощью.
③ Сколько времени занимает восстановление после процедуры?
У большинства пациентов в течение нескольких дней после вмешательства постепенно уменьшается дискомфорт и становится возможным возвращение к лёгкой повседневной активности. Обычно рекомендуется избегать интенсивных физических нагрузок и тяжёлого труда в течение 1–2 недель, а также проходить контрольные исследования функции печени и визуализацию по назначению врача для оценки эффекта лечения. Конкретные сроки восстановления зависят от исходной функции печени, опухолевой нагрузки и индивидуальной реакции организма и определяются рекомендациями лечащего врача.
Типичный клинический случай
Пациент: мужчина, среднего возраста, гепатоцеллюлярная карцинома
Клиническое течение: Во время профилактического обследования у пациента была диагностирована поздняя стадия гепатоцеллюлярной карциномы, сопровождавшаяся крупной опухолью печени и опухолевым тромбом в воротной вене. Заболевание прогрессировало быстро, качество жизни значительно ухудшилось.
Ход лечения: Пациент обратился в нашу клинику в феврале 2024 года.
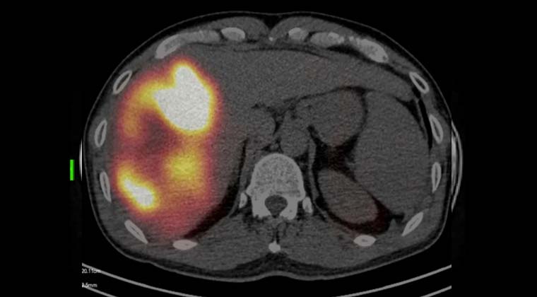
Перед лечением была выполнена имитационная оценка с использованием иттрий-90: в артерии, питающие опухоль, был введён MAA с последующим проведением SPECT-сканирования для подтверждения распределения кровотока и границ безопасности. После этого была проведена терапия смоляными микросферами иттрия-90, при которой рассчитанная доза микросфер по плану была введена в опухоль-питающие артерии с обеспечением адекватного покрытия очага.
Ранний послеоперационный период: В раннем послеоперационном периоде отмечались лёгкая слабость, снижение аппетита и субфебрильная температура. После симптоматического лечения данные проявления постепенно регрессировали.
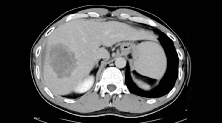
Наблюдение и исход: Контрольные обследования показали выраженное уменьшение размеров опухоли и регресс опухолевого тромба воротной вены. По данным визуализации был отмечен некротический ответ очагов.
После MDT-оценки и подтверждения возможности хирургического вмешательства было выполнено оперативное удаление некротизированной опухоли. По данным патоморфологического исследования подтверждён некроз опухоли. Общее состояние пациента постепенно улучшилось, качество жизни повысилось.

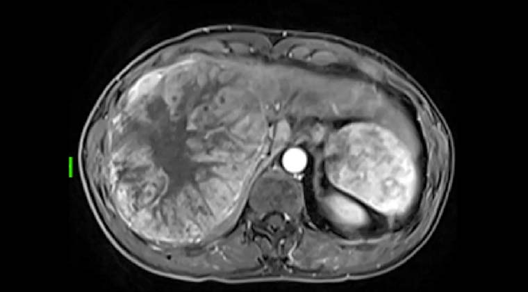
(По данным визуализационных исследований выявлена гигантская опухоль правой доли печени диаметром 16 см)

(Достигнуто полное покрытие гигантской опухоли микросферами иттрий-90)

(Визуализационные исследования после лечения иттрием-90)