Показания
① Применимые ситуации
• Опухоли диаметром ≤ 3 см, при которых возможно достижение полноценной и эффективной полной абляции.
• Очаги ≤ 5 см, которые после оценки могут лечиться абляцией либо комбинированным методом «интервенционное лечение + абляция».
• Пациенты, не переносящие хирургическое вмешательство, с рецидивом после операции либо не желающие операции.
• Пациенты, ориентированные на менее травматичное лечение и более быстрое восстановление.
② Часто встречающиеся нозологии
Различные солидные опухоли, включая опухоли щитовидной железы, печени, лёгких, почек, молочной железы, предстательной железы, а также миомы матки.
Ключевые преимущества
① Высокоэффективная тепловая абляция
Микроволновая энергия обеспечивает быстрое повышение температуры и контролируемую зону воздействия, позволяя за короткое время довести опухолевую ткань до температур, обеспечивающих её эффективную инактивацию, что повышает эффективность абляции.
② Меньшая зависимость от кровотока
По сравнению с рядом других методов тепловой абляции, микроволновая абляция в меньшей степени подвержена влиянию «эффекта теплового стока», обусловленного кровотоком, что способствует более полному разрушению очага.
③ Минимальная инвазивность и возможность повторения
Лечение проводится через пункцию игольного диаметра, характеризуется малой травматичностью и быстрым восстановлением; при наличии показаний процедура может выполняться повторно.
④ Гибкость в комбинированном лечении
Микроволновая абляция может сочетаться с различными методами терапии:
TACE + MWA: сначала блокирование кровоснабжения опухоли, затем абляция, что вместе повышает полноту разрушения опухоли;
Комбинация с системной терапией: совместное применение с химиотерапией, таргетной или иммунной терапией в рамках комплексного лечения;
Лечение рецидивов: используется для точного контроля локальных рецидивов или остаточных очагов.
Именно высокая гибкость в составе комбинированных схем является одной из ключевых причин широкого применения микроволновой абляции.
Почему выбирают больницу Цзиньшачжоу?
Микроволновая абляция является одной из наиболее зрелых и ключевых технологий в системе малоинвазивного лечения нашей больницы и представляет собой базовую платформу возможностей для малоинвазивной онкологической терапии. Будучи одним из наиболее широко применяемых методов абляции с наибольшим охватом нозологий, микроволновая абляция в ходе длительной клинической практики накопила богатый опыт принятия решений, что позволяет учитывать индивидуальные потребности при различных локализациях, стадиях заболевания и терапевтических целях.
Опираясь на зрелую систему визуализационного наведения, наша больница обеспечивает полный цикл ведения пациента — от предоперационной оценки и точной интраоперационной абляции до объективного послеоперационного наблюдения. Благодаря этому микроволновая абляция используется не только для «устранения очагов», но и для оптимизации общей лечебной стратегии.
В функционально и эстетически чувствительных зонах, таких как щитовидная железа, микроволновая абляция предоставляет части пациентов возможность сохранения структуры и функции органа, обеспечивая более оптимальный баланс между безопасностью, эстетическими результатами и качеством жизни.
В больнице Цзиньшачжоу микроволновая абляция широко применяется в сочетании с интервенционными методами, лучевой терапией и системным лечением. Она может использоваться как начальный метод локального воздействия, а также для точного контроля рецидивных или остаточных очагов, выполняя роль важного связующего звена между различными терапевтическими подходами.
Техническое определение
Микроволновая абляция — это широко применяемый и технически хорошо отработанный метод локальной термической деструкции опухолей. С помощью высокочастотной микроволновой энергии температура опухолевой ткани быстро повышается до 60–100 °C, что приводит к коагуляционному некрозу клеток и обеспечивает точную локальную инактивацию опухоли.
Процедура выполняется через минимальный кожный прокол, отличается малой травматичностью и быстрым восстановлением и относится к числу наиболее зрелых и широко используемых технологий в системе современной малоинвазивной онкологической терапии.
Механизм действия
Микроволновая абляция осуществляется за счет генерации высокочастотных электромагнитных волн микроволновым генератором, которые передаются к опухолевой ткани через абляционную иглу. Это вызывает быстрое колебание полярных молекул в ткани и их трение друг о друга, что быстро преобразуется в тепловую энергию. Продолжительное повышение температуры разрушает мембраны опухолевых клеток, вызывает денатурацию белков и приводит к коагуляционному некрозу.
Благодаря высокой мощности микроволн, быстрому нагреву и стабильной зоне действия, эффективная абляция достигается за короткое время, а зона обработки точно контролируется под визуальным контролем, минимизируя повреждение окружающих нормальных тканей.
Процесс лечения
① Предоперационная оценка: с помощью методов визуализации определить расположение, размер, количество опухолей и их связь с важными структурами.
② Визуализируемое позиционирование: точное определение очага под контролем УЗИ или КТ.
③ Введение абляционной иглы: перкутанно установить микроволновую абляционную иглу в опухоль.
④ Микроволновая абляция: подача микроволновой энергии для индуцирования термического коагуляционного некроза опухолевой ткани.
⑤ Послеоперационное наблюдение: регулярная оценка результатов абляции и контроль возможного рецидива с помощью КТ или МРТ с контрастированием.
Безопасность и меры предосторожности
Безопасность микроволновой абляции основана на контролируемой зоне теплового воздействия и четко определенных границах под визуальным контролем.
Перед процедурой необходимо оценить пространственное расположение опухоли относительно важных структур (например, сосудов, нервов, дыхательных путей или желез) и выбрать подходящие параметры энергии и путь пункции с учетом особенностей органа.
Во время процедуры зона абляции контролируется в реальном времени с помощью визуализации, концентрируя тепловое воздействие на самом очаге и минимизируя повреждение окружающих нормальных тканей.
После лечения возможны кратковременные местные дискомфорт или субфебрильная температура, что в основном является ожидаемой реакцией и обычно не требует специального вмешательства.
С помощью стандартизированной оценки, точного позиционирования и работы опытной команды можно достичь стабильных и повторяемых результатов лечения при обеспечении безопасности.
Часто задаваемые вопросы
1. Повлияет ли микроволновая абляция на функцию органов?
Микроволновая абляция воздействует преимущественно на сам очаг. При правильной оценке и точной операции можно максимально сохранить окружающие нормальные ткани и функцию органов, что особенно важно для зон, требующих сохранения функции.
2. Микроволновую абляцию можно проводить только один раз?
При подходящих условиях микроволновую абляцию можно повторять, а также сочетать с интервенционным или системным лечением. Это минимально инвазивный метод с возможностью долгосрочной гибкой терапии.
3. Как определить, достаточно ли эффективно проведено лечение?
Эффективность лечения оценивается в основном по данным последующих визуализаций. После абляции очаг обычно постепенно уменьшается или стабилизируется. Наличие остаточных тканей следует оценивать комплексно с использованием усиленной КТ или МРТ.
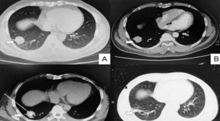
Типичный случай
Пациент страдал аденокарциномой правой нижней доли легкого диаметром 3 см (верхние левое и правое изображения).
Микроволновая абляция была выполнена под местной анестезией (нижнее левое изображение).
При повторном обследовании через 3 месяца очаг полностью некротизирован с фиброзными изменениями.
На сегодняшний день пациент живет более 3 лет без рецидива опухоли.

До лечения После лечения