Показания
① Классические сценарии для Киберножа
• Очаги, значительно смещающиеся при дыхании или движении органов (например, некоторые поражения лёгких, печени, около поджелудочной).
• Очаги рядом с критически важными структурами, требующие точного дозирования (например, внутри черепа, параспинальные зоны).
• Остаточные или рецидивные очаги после предыдущего лечения.
② Часто встречающиеся нозологии
• Голова и шея: первичные опухоли, повторная радиотерапия.
• Лёгкие: ранние и поздние стадии первичного рака лёгкого.
• Поджелудочная железа: пациенты, которым противопоказана операция, предоперационная или послеоперационная буст-терапия.
• Череп: метастазы в мозг, первичные опухоли, тригеминальная невралгия, артериовенозные мальформации.
• Печень: метастазы в печень, первичный рак печени, неподдающийся хирургическому лечению.
• Позвоночник: метастазы в позвоночник, доброкачественные опухоли, артериовенозные мальформации спинного мозга.
• Предстательная железа: рак предстательной железы низкого и среднего риска, монотерапия.
Технические преимущества
① Безоперационное лечение с высокой точностью: Кибернож использует центральное фокусирование во всех направлениях и трёхмерное наложение доз, что позволяет излучению максимально соответствовать форме и положению опухоли. С поддержкой визуального контроля достигается точность на уровне миллиметров, а при необходимости — субмиллиметровая. Лечение не требует операции и анестезии, процесс проходит более комфортно.
② Визуальное сопровождение в реальном времени и динамическое выравнивание: Система динамически отслеживает опухоль с помощью визуализации в реальном времени, обеспечивая точное попадание каждой дозы в мишень и минимизируя облучение здоровых тканей.
③ Адаптация к движению опухоли: Для очагов, смещающихся при дыхании (например, в лёгких, печени или около поджелудочной железы), Кибернож отслеживает положение пациента, опухоли и дыхательные движения в трёх измерениях и корректирует направление луча в реальном времени для соответствия фактическому положению опухоли.
④ Точность при очагах в мозге и рядом с позвоночником: Для опухолей, расположенных близко к мозговой ткани, черепным нервам или спинному мозгу, план лечения разрабатывается с высокой точностью, чтобы максимально защитить критически важные структуры при строгих ограничениях по дозе.
⑤ Концентрированные курсы лечения, подходящие для амбулаторного лечения: Кибернож часто используется в схемах с небольшим количеством сеансов. Большинство пациентов может пройти лечение амбулаторно. Количество сеансов подбирается индивидуально в зависимости от размера опухоли, её расположения и переносимости окружающими органами (обычно 1–5 сеансов, иногда больше).
Почему выбирают больницу Цзиньшачжоу?
С 2019 года в нашей больнице используется CyberKnife M6 (первый в Китае) как ключевое оборудование центра лучевой терапии опухолей. Лицензия на проведение радиотерапии получена в 2020 году, первый сеанс с использованием Киберножа проведён 10 июля 2020 года.
На базе CyberKnife M6 и других современных платформ лучевой терапии мы придерживаемся принципа «индивидуальный подход прежде всего»: на МДТ сначала оценивается, подходит ли пациент для лучевой терапии, определяются роль и время её проведения в общей схеме лечения и обеспечивается согласование с хирургией, интервенционными процедурами и системной терапией. Команда радиотерапевтов разрабатывает индивидуальный план, учитывая расположение опухоли, близость к критическим структурам, движение органов и ограничения по дозе, выбирая оптимальное оборудование и техническую стратегию, избегая подхода «подходить ко всем с одной меркой».
Весь процесс контролируется замкнутым циклом качества: предлечебная оценка, проверка плана, коррекция с помощью визуализации во время терапии и контрольные обследования. Это обеспечивает стабильность и управляемость лечения. Пациент получает полный комплекс: оценка изображений, обсуждение плана, разработка плана лечения и проведение терапии в стенах больницы, с интеграцией с хирургией, интервенционными и системными методами лечения при необходимости. Ключевые этапы под контролем, путь лечения прозрачен, терапия безопасна и надёжна.
Техническое определение
CyberKnife, также называемый трёхмерным роботом для стереотаксической радиохирургии, представляет собой полностью цифровую систему с конформным многолистовым коллиматором для стереотаксической рентгеновской радиохирургии всего тела. В нашей больнице установлен CyberKnife M6 шестого поколения от Accuray. Он относится к технологиям стереотаксической радиохирургии/радиотерапии (SRS/SBRT) и способен отслеживать положение пациента, локализацию опухоли и дыхательные движения в трёх измерениях. Во время лечения система под контролем медицинской визуализации в реальном времени корректирует направление луча для точного воздействия на опухоль или другие целевые зоны.
Механизм действия
① Всестороннее центральное фокусирование и трехмерное распределение дозы
Кибернож относится к категории технологий стереотаксической радиохирургии (SRS/SBRT). Его линейный ускоритель установлен на высокоточном роботизированном приборе, который способен подавать тонкие лучи под разными углами вокруг пациента. В соответствии с планом лечения лучи накладываются друг на друга внутри опухоли, создавая трехмерное распределение дозы и точное формирование, концентрируя дозу в мишени и снижая облучение окружающих здоровых тканей. Радиоактивное излучение в основном повреждает ДНК опухолевых клеток, подавляя их репликацию и деление, что обеспечивает терапевтический эффект.
② Визуальное сопровождение и коррекция слежения
Кибернож использует визуализацию до и во время лечения для проверки и корректировки положения. Для очагов, подверженных движению из-за дыхания или органов, могут применяться стратегии отслеживания с маркерами или прямое отслеживание опухоли, позволяя в реальном времени корректировать направление луча в соответствии с изменением положения опухоли, обеспечивая точное попадание облучения в фактическое положение мишени.
Процесс лечения
① Оценка и подготовка: Врач радиотерапевт оценивает состояние пациента, историю предыдущего лечения и данные визуализации, чтобы определить возможность лечения Киберножом и уточнить цели и сроки терапии; при необходимости проводится MDT-дискуссия для координации с хирургией, интервенционными или системными методами лечения.
② Позиционирование и сбор изображений: Пациент фиксируется в зависимости от области лечения, проводится планирующая КТ (при необходимости с МРТ/усиленной КТ или 4D-КТ) для получения точных изображений для планирования. Для очагов, подверженных движению органов, у некоторых пациентов может потребоваться установка маркеров (например, золотых) под контролем изображений для реализации стратегии трекинга.
③ Контурирование и планирование: Врач радиотерапевт очерчивает зону опухоли и критические органы; медицинский физик оптимизирует траектории лучей и распределение дозы в системе планирования и разрабатывает стратегии трекинга/коррекции; план утверждается командой.
④ Проведение лечения: Перед каждой сессией проводится проверка изображений и корректировка положения; в процессе лечения система отслеживает положение с помощью изображений и при необходимости вносит коррекции, обеспечивая многоплоскостное облучение согласно плану. В большинстве случаев анестезия не требуется, лечение может проводиться амбулаторно (по индивидуальной оценке).
⑤ Контроль и наблюдение: После лечения по графику проводятся повторные визуализации и исследования для оценки эффективности и контроля реакции; при дискомфорте или усилении реакции необходимо своевременно сообщить врачу для коррекции.
Часто задаваемые вопросы
① Сколько сеансов необходимо для лечения Киберножом?
Ответ: Обычно используется небольшое количество сеансов, большинство планов лечения выполняются в 1–5 сеансов. Точное количество определяется с учетом размера и расположения очага, влияния дыхания и переносимости окружающих органов. Врач заранее разрабатывает индивидуальный план и объясняет график лечения.
② Болезненно ли лечение Киберножом?
Ответ: Лечение Киберножом полностью безоперационное и не требует разрезов, поэтому обычно не вызывает ощутимой боли. Пациенту нужно лишь спокойно лежать на столе. В редких случаях может возникнуть легкий дискомфорт из-за особенностей расположения опухоли или высокой чувствительности пациента к боли.
③ Есть ли побочные эффекты?
Ответ: Благодаря высокой точности и безоперационной природе, побочные эффекты минимальны. Большинство пациентов не испытывают значительного дискомфорта после лечения, некоторые могут заметить легкую реакцию кожи или кратковременную усталость.
④ Когда можно вернуться к обычной активности?
Ответ: Большинство пациентов могут возобновить повседневные дела в день лечения или на следующий день. У некоторых может наблюдаться кратковременная усталость или легкий дискомфорт, обычно проходящий через день-два отдыха.
⑤ Какие меры предосторожности нужно соблюдать во время и после лечения?
Ответ: Уход за кожей особенно важен во время радиотерапии. Пациент должен соблюдать рекомендации медицинского персонала по очистке, увлажнению, защите от солнца и избеганию раздражения. После завершения курса лечения необходимо проходить контроль и соблюдать регулярный режим и умеренную активность. Любой заметный дискомфорт или ухудшение состояния следует немедленно сообщить врачу или медсестре для оценки и коррекции.
Типичный случай
① Случай 1:
Пациентка: девочка, 10 лет
Диагноз: Злокачественная опухоль головного мозга (глиома)
Симптомы: Слабость в ногах и руках, нечёткая речь
Лечение с помощью Киберножа начато 102020, доза облучения — PTV 25 Гр / 5 Гр / 5 сеансов
Через 2 месяца после лечения контрольная визуализация показала небольшое уменьшение очага опухоли ствола мозга. Сознание восстановлено, речь значительно улучшилась, движения конечностей постепенно нормализовались.

До лечения: После лечения:
② Случай 2:
Пациент: мужчина, 67 лет
Вторичная злокачественная опухоль мозга
Лечение с помощью Киберножа начато 002020, назначенная доза составила 95% GTV DT15Gy, выполненная в 3 сеанса по 5Gy каждая.
Через 3 месяца после лечения повторная визуализация показала значительное уменьшение опухоли по сравнению с предыдущими обследованиями.

До лечения: После лечения:
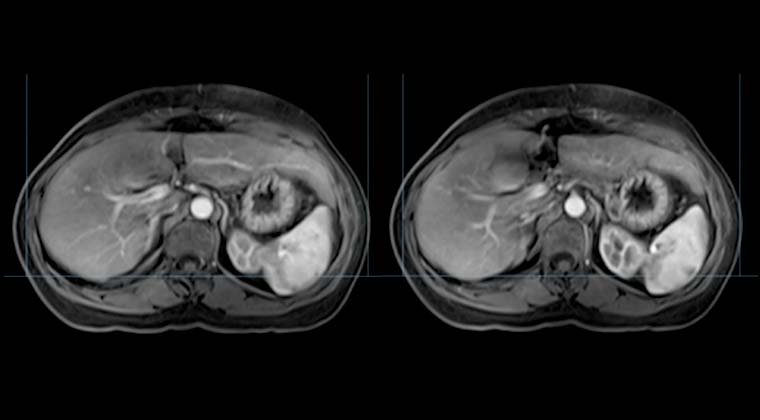
③ Случай 3:
Пациентка: Женщина, 46 лет
Диагноз: Рак печени
План лечения: 4D моделирование и локализация; очаги в сегментах S2 и S3 облучены суммарной дозой 50 Gy, 10 Gy за фракцию, 5 фракций.
Предлечебное МРТ в нашей больнице 012020:
Множественные узлы в сегментах S2, S3 и S5 печени; высокая вероятность малого рака печени.
Гемангиома печени в сегменте S
Контрольное МРТ 102021:
Изменения после комплексного лечения рака печени; очаги значительно уменьшились по сравнению с предыдущим обследованием.
Аденомиоматоз желчного пузыря, в целом без изменений.

До лечения:

После лечения: