Применимые ситуации
① Типичные сценарии, где Ethos особенно эффективна
• Опухоли с легко меняющимся положением или чувствительными окружающими органами.
• Случаи, когда критические органы находятся близко к опухоли и требуется высокая защита нормальных тканей.
• Опухоли с изменчивым положением (положение или форма опухоли часто меняются во время лечения из-за дыхания, движения органов или изменения позиции пациента).
• Опухоли с динамическими изменениями формы или размера (опухоль может изменять форму или размер в ответ на лечение или физиологические изменения).
② Часто встречающиеся нозологии
Адаптивная радиотерапия Ethos применяется для клинического лечения различных распространённых злокачественных опухолей, включая рак шейки матки, рак мочевого пузыря, опухоли головы и шеи, рак лёгких, рак предстательной железы, рак пищевода, рак молочной железы и рак прямой кишки.
Ключевые преимущества
① Точность: онлайн-адаптивная терапия с учётом анатомии на текущий день
Основное преимущество Ethos — онлайн-адаптивная радиотерапия. Это не просто «проверка позиции», а «планирование на день», чтобы точнее соответствовать положению опухоли. Перед каждой процедурой получают изображение положения пациента; на основе положения, размера и формы опухоли в этот день обновляется целевая зона и пересчитывается доза. При необходимости план лечения можно скорректировать онлайн, обеспечивая соответствие терапии текущей анатомии пациента.
② Интеллект: ИИ-направляемый процесс с автоматическим контурированием и оценкой
Ethos — первая в мире система онлайн-адаптивной радиотерапии на основе ИИ. ИИ управляет процессом с использованием многомодальных высококачественных изображений. В день лечения система автоматически идентифицирует и контурирует критические органы, связанные с опухолью, отображает и обновляет целевую зону и ОАР на актуальных изображениях; врачи и физики проверяют и корректируют только ключевые моменты. Затем система быстро формирует план на день, выполняется оценка и реализация, формируя полноценный онлайн-процесс: получение изображений → контурирование и оценка → формирование плана → контроль качества плана → выполнение плана.
③ Эффективность: онлайн-адаптивный процесс ~15 минут
По сравнению с обычными линейными ускорителями, онлайн-адаптивный режим Ethos позволяет за ~15 минут получить высококачественные iCBCT-изображения, выполнить оценку с помощью ИИ, автоматически скорректировать и пересчитать дозу на день. Традиционные офлайн-адаптивные процессы занимали 2–3 дня. Перенос адаптации на день процедуры снижает повторные офлайн-операции и ожидание, повышая эффективность и управляемость процесса, давая пациентам с опухолью больше ценного времени лечения.
④ Преимущество для тазовой области: снижение влияния изменений наполнения органов
При лечении рака простаты и мочевого пузыря Ethos позволяет контролировать наполнение мочевого пузыря и состояние кишечника (газ, содержимое) и выполнять оценку и онлайн-коррекцию на день. Это снижает необходимость многократной подготовки для соответствия фиксированным требованиям, делая процесс более удобным для пациента и более управляемым.
Почему выбирают больницу Цзиньшачжоу при Гуанчжоуском университете китайской медицины?
Система Ethos была установлена в сентябре 2022 года, получила лицензию на радиотерапевтическое лечение 7 апреля 2023 года и 16 апреля 2023 года была выполнена первая процедура адаптивной радиотерапии. В клиническом применении онлайн-адаптивной радиотерапии наша больница выработала стандартизированные процессы командного взаимодействия и реализации, обеспечивая стабильное предоставление лечебных услуг. Ценность Ethos заключается не только в его передовой платформе, но и в возможности до каждой процедуры на основе ежедневных изображений оценивать изменения опухоли и органов и при необходимости быстро корректировать и проверять план на день, что обеспечивает максимально точное соответствие лечения анатомии пациента. Особенно это важно для опухолей таза, таких как рак мочевого пузыря и рак шейки матки, которые сильно зависят от наполнения мочевого пузыря и состояния кишечника.
Полный потенциал системы Ethos в нашей больнице обеспечивается за счёт одноэтапной системы онкологической помощи и механизма многопрофильного сотрудничества MDT. Радиотерапия не является изолированным этапом, а интегрирована с диагностикой изображений, патологической оценкой, интервенционной и системной терапией, традиционной китайской медициной и последующим наблюдением в рамках единой схемы для координированного принятия решений и динамической оценки. Это позволяет пациентам проходить непрерывный путь от оценки до лечения и управления, а также обеспечивает возможность для передовых технологий, таких как онлайн-адаптивная радиотерапия Ethos, требующих высокого уровня процесса, контроля качества и командной координации, достигать стабильного баланса между безопасностью и эффективностью.
Для зарубежных пациентов это означает, что передовая технология не только «доступна», но и «осуществима и применима». Наша больница будет продолжать продвижение стандартизированного применения и управления качеством онлайн-адаптивной радиотерапии Ethos, превращая технологические преимущества в одноэтапный опыт лечения с долгосрочной поддержкой наблюдения, обеспечивая пациентам более точный, безопасный и комфортный процесс радиотерапии.
Техническое определение
Ethos, внедрённый в нашей клинике, является первой в мире платформой онлайн-адаптивной радиотерапии на базе ИИ. Построенная на основе обычного линейного ускорителя, система объединяет искусственный интеллект, многомодальные изображения высокого разрешения, эффективное получение изображений и онлайн-систему контроля качества для обеспечения высокоэффективной онлайн-адаптивной радиотерапии.
Механизм действия
Ключевой механизм онлайн-адаптивной радиотерапии Ethos заключается в интеграции «ежедневная визуализация — обновление структур — создание и проверка плана — подача дозы» в единый интегрированный онлайн-процесс, что позволяет лечению максимально соответствовать анатомии пациента в день каждой процедуры. Основные этапы включают:
① Визуализация в реальном времени: Перед каждой процедурой получаются трёхмерные изображения в позиции лечения, на которых наглядно отображается положение опухоли и окружающих органов в этот день. Перед облучением выполняется проверка положения, при необходимости используются контрольные изображения в процессе процедуры для уменьшения ошибок, связанных с микродвижениями пациента или изменениями органов, что обеспечивает точное соответствие облучения текущей анатомии.
② Динамическая модуляция интенсивности: На основе запланированных траекторий лучей и ограничений по дозе модуляция интенсивности позволяет точно формировать распределение дозы. При изменении формы опухоли или положения соседних органов доза может быть перерассчитана или переоптимизирована с учётом анатомии текущего дня, обеспечивая покрытие цели и минимизируя избыточное облучение здоровых тканей.
③ AI-оптимизация: Под руководством ИИ система автоматически распознаёт и очерчивает критические структуры, стандартизируя процессы оценки, создания плана, оптимизации и онлайн-проверки. Быстрые вычисления и оптимизация сокращают время адаптации, уменьшают ручные корректировки и вариабельность между операторами, обеспечивая стабильную реализацию онлайн-адаптивной радиотерапии в рамках клинического потока.
Процесс лечения
Врач оценивает, подходит ли пациент для онлайн-адаптивной радиотерапии Ethos с использованием ИИ, выполняет позиционирование и фиксацию тела, составляет базовый референсный план и начинает курс лечения.
Конкретный рабочий процесс может корректироваться командой радиотерапевтов в зависимости от состояния пациента, локализации опухоли и физиологических особенностей текущего дня.
После завершения курса проводятся контрольные осмотры и оценка эффективности, команда медицинских специалистов управляет побочными эффектами, дает рекомендации по реабилитации и при необходимости координирует последующее комплексное лечение.
Каждая процедура проходит следующие этапы:
① Получение изображений в день лечения: После установки пациента на аппарате выполняется CBCT-сканирование для фиксации состояния опухоли и окружающих органов в этот день.
② Онлайн адаптивное планирование с ИИ и проверка: ИИ помогает обновлять структуры целевой зоны и критические органы. Команда радиотерапевтов быстро проверяет их и при необходимости корректирует.
③ Создание плана: Система генерирует план лечения на сеанс, включая оптимизированный адаптивный план. Команда радиотерапевтов оценивает и выбирает план для выполнения.
④ Онлайн проверка и калибровка позиции: После завершения онлайн-проверки перед облучением выполняется повторное CBCT-сканирование для дополнительной коррекции позиции пациента и снижения отклонений, вызванных движением.
⑤ Проведение лечения: Проводится запланированное облучение, повторяемое в соответствии с назначенным курсом. При изменениях анатомии в день лечения выполняются онлайн адаптивные корректировки.
Часто задаваемые вопросы
① Через какое время после лечения можно вернуться к обычной жизни?
Ответ: Большинство пациентов способны поддерживать базовую повседневную активность во время радиотерапии, а после её завершения обычно можно постепенно восстановить обычный режим в короткий срок. Рекомендуется действовать по мере собственных возможностей, избегая резких и интенсивных упражнений или тяжёлого физического труда. Конкретные рекомендации дает лечащий врач.
② Нужно ли перед радиотерапией наполнять мочевой пузырь?
Ответ: Обычно по медицинским рекомендациям требуется умеренная, повторяемая подготовка мочевого пузыря, но не обязательно достигать строго фиксированного уровня, как в традиционных протоколах. Ethos может оценивать состояние мочевого пузыря и кишечника в день лечения и при необходимости выполнять онлайн-адаптивные корректировки, снижая влияние колебаний объёма на точность лечения и защиту органов. Следуйте индивидуальным указаниям врача.
③ Нужно ли делать сканирование перед каждой процедурой? Это увеличивает облучение?
Ответ: Ethos выполняет сканирование перед каждой процедурой. Хотя оно вносит определённую дозу облучения, она остаётся в пределах нормативных безопасных значений. Для большинства пациентов преимущества точного наведения и защиты органов перевешивают потенциальный риск. Излишне беспокоиться не нужно; соблюдайте указания врача.
④ Что делать при дискомфорте или побочных эффектах во время лечения?
Ответ: Тяжесть побочных эффектов радиотерапии варьируется у разных людей, большинство эффектов постепенно исчезают после завершения курса. Если появляются побочные эффекты, пациент должен своевременно сообщить врачу, который при необходимости скорректирует план лечения или назначит симптоматическое лечение. Позитивный настрой и сотрудничество с командой помогают уменьшить влияние побочных эффектов на повседневную жизнь.
Типичный случай
① Случай 1:
Пациент мужского пола, 54 года
Злокачественная опухоль мочевого пузыря
В феврале 2024 года у пациента наблюдалась макрогематурия, сопровождавшаяся учащенным, срочным и болезненным мочеиспусканием. Обследование в местной больнице подтвердило злокачественную опухоль мочевого пузыря, выявлена уротелиальная карцинома высокой степени злокачественности. Было рекомендовано хирургическое удаление, но пациент отказался.
С 21 марта по 25 апреля 2024 года пациент проходил в нашей клинике синхронную точную лучевую терапию опухоли мочевого пузыря с локальной гипертермией. Последующее наблюдение показало отсутствие рецидива до настоящего времени.

Левое изображение: до лечения
Правое изображение: после лечения
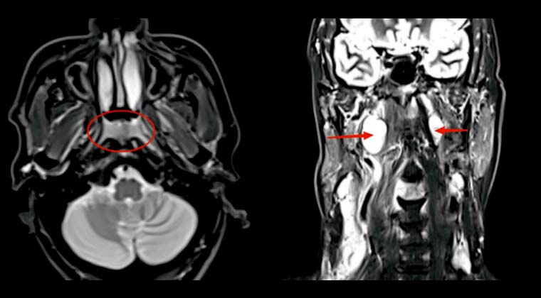
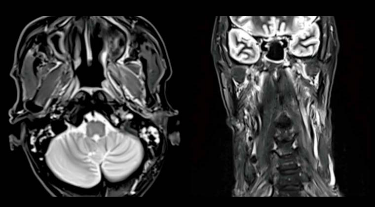
② Случай 2:
Пациент мужского пола, 55 лет
Злокачественное новообразование носоглотки (неороговевающий недифференцированный рак носоглотки)
Симптомы: дискомфорт в области шеи, преимущественно боль
Назначенная доза: PGTVnx 70,29 Гр/2,13 Гр/33 фракций, PGTVnd 67,98 Гр/2,06 Гр/33 фракций, PTV1 62,04 Гр/1,88 Гр/33 фракций, PTV2 54,12 Гр/1,64 Гр/33 фракций
Через восемь месяцев после лечения контрольная МРТ показала уменьшение опухоли носоглотки и лимфатических узлов с положительным диагнозом, регресс утолщения слизистой носоглотки.

До лечения:

После лечения:
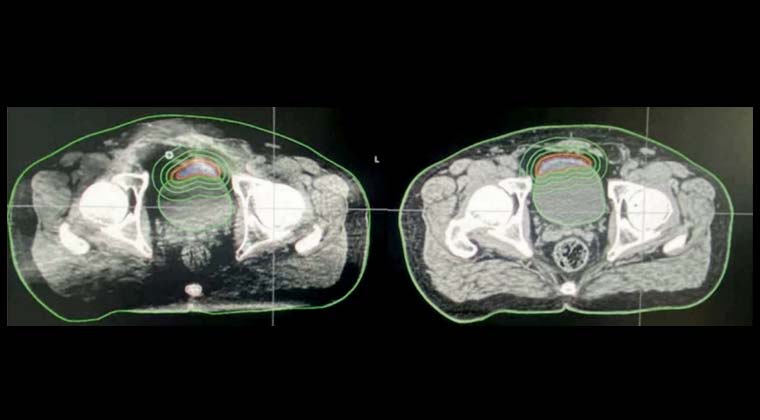
③ Случай 3:
Пациент мужского пола, 67 лет
Диагноз: Рак мочевого пузыря
Сложность лечения: Положение опухоли изменяется в зависимости от наполнения мочевого пузыря, высокая вариабельность между сеансами
Преимущество онлайн-адаптивной радиотерапии Ethos: Перед каждой процедурой используется iCBCT для получения текущего положения мочевого пузыря и опухоли. Затем выполняется повторное контурирование целевой зоны и переработка плана лечения, что делает терапию более точной.
Изображения: МРТ до лечения, МРТ после лечения, контурирование цели во время адаптивной радиотерапии Ethos:

До лечения:

Во время лечения:

После лечения: